Real Patient Results and Smile Transformations
Explore our Smile Gallery to see real before and after results from patients at Jonari Dental in Cooper City, FL. Each smile transformation showcases our commitment to precision, artistry, and personalized dental care that brings out your best smile.
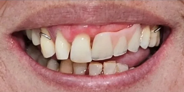
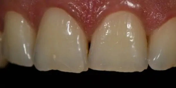
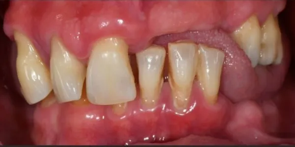
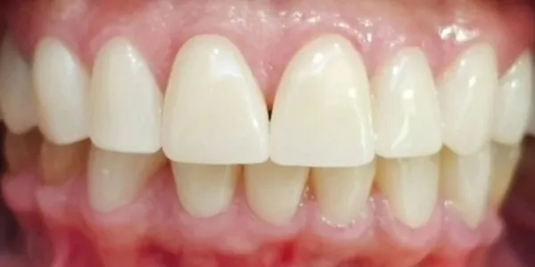
Smile Design

Cosmetic Dentistry


Before
After
All on X (6 Implants & Provisionals)


Before
After
Provisionals (Smile in 2 hours)


Before
After
Ready to Star Your Smile Transformation?
Book a consultation today and take the first step toward a confident smile.
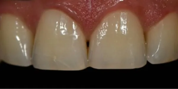
Smile Design

Smile Improvement


Before
After
Enameloplasty


Before
After
All on X (4 Implants)


Before
After
Discover the Power of a Beautiful Smile
Book your appointment today and let your smile shine brighter than ever.
Smile Design

Smile Makeover


Before
After
All on X (6 Implants)


Before
After
Gingivectomi


Before
After
Boost Your Confidence with a Beautiful Smile
Your dream smile starts here with Cooper City’s top dentistry. Book today!
Smile Design

Dental Veneers


Before
After

